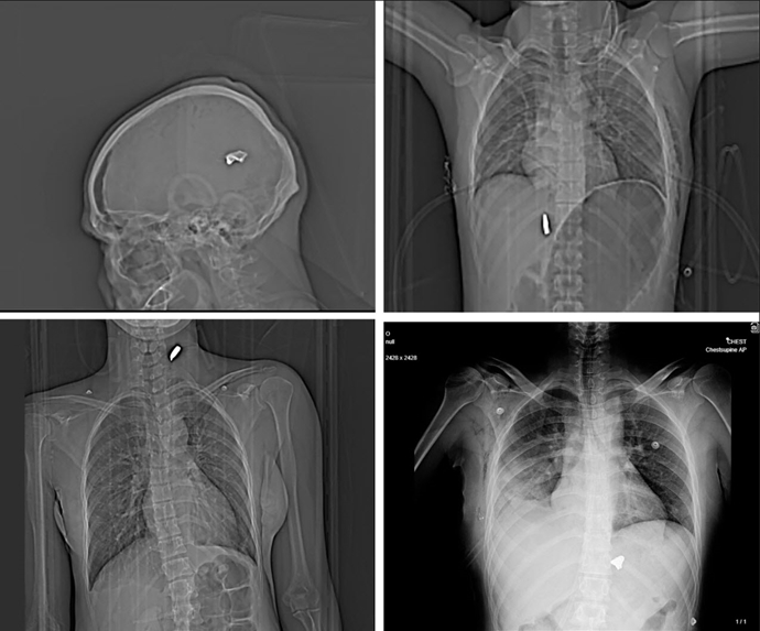
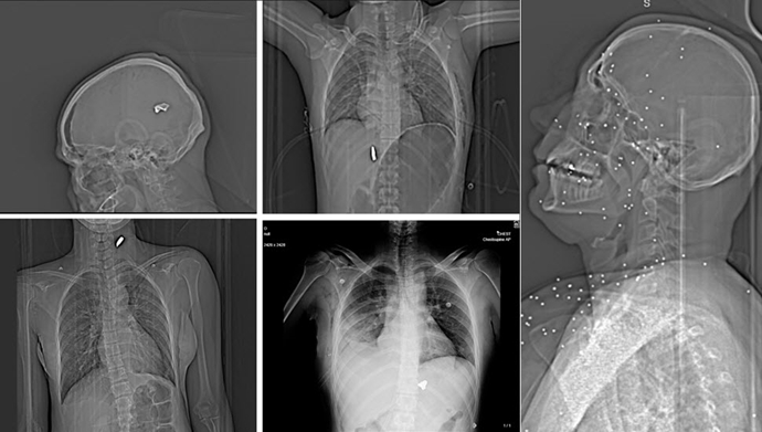
گاردین در گزارشی اختصاصی به تاریخ ۱۷ فوریه ۲۰۲۶ (۲۸ بهمن ۱۴۰۴) با استناد به دهها تصویر پزشکی، ابعاد تازهای از شدت سرکوب مردم در قیام دیماه در ایران را افشا کرده است. این گزارش بر پایه تحلیل تخصصی تصاویر ایکسری و سیتیاسکن ثبتشده در یک بیمارستان در یکی از شهرهای بزرگ ایران تهیه شده و نشان میدهد نیروهای سرکوبگر رژیم بهطور سیستماتیک نقاط حیاتی بدن از جمله صورت، قفسه سینه و اندامهای ... را هدف قرار دادهاند.
بر اساس این گزارش، بیش از ۷۵مجموعه تصویر پزشکی که همگی در جریان یک شب سرکوب خونین در ماه (دی) ژانویه ثبت شدهاند، وجود ترومای شدید ناشی از شلیک ساچمههای فلزی و گلولههای کالیبر بالا را تأیید میکند. این جراحات بهدست نیروهای سپاه پاسداران علیه معترضان و حتی رهگذران وارد شده است.
در یکی از این موارد، تصاویر مربوط به زنی جوان با نام مستعار «آناهیتا»* نشان میدهد دهها ساچمه فلزی به اندازه ۲ تا ۵ میلیمتر در صورت، حدقه چشم و حتی بافت مغزی او نفوذ کردهاند. کارشناسان میگویند این ساچمهها که از تفنگهای ساچمهزنی موسوم به «birdshot» شلیک شدهاند، در فاصله نزدیک قادر به خرد کردن استخوان و نابودی کامل بافت نرم هستند. بر اساس گزارش، آناهیتا دستکم بینایی یک چشم و احتمالاً هر دو چشم خود را از دست داده است.
گاردین مینویسد این تصاویر شواهد تازهای از تغییری خطرناک در شیوه سرکوب اعتراضات در ایران ارائه میدهد؛ جایی که نیروهای امنیتی به جای روشهای موسوم به «کنترل جمعیت»، از مهمات جنگی و سلاحهای تهاجمی کالیبر بالا استفاده کردهاند. سوابق پزشکی بررسیشده، الگویی تکرارشونده از شلیک مستقیم به صورت، قفسه سینه و اندامهای... را نشان میدهد؛ الگویی که پیشتر در جریان اعتراضات ۱۴۰۱ - (۲۰۲۲) نیز مشاهده شده بود.
در میان تصاویر، موارد متعددی از جراحات تهدیدکننده جان دیده میشود. اسکن مردی جوان با نام مستعار «وحید»* گلولهای کالیبر بالا را نشان میدهد که در گردن او گیر کرده و نای بهدلیل خونریزی و تورم شدید به سمت راست منحرف شده است. در موردی دیگر، تصویر سیتیاسکن یک مرد میانسال وجود گلولهای معلق در مغز و حباب بزرگ گاز در داخل جمجمه را نشان میدهد؛ آسیبی که به گفته کارشناسان پزشکی «احتمالاً غیرقابل بقا» است. در بدن دو مرد جوان دیگر نیز گلولههای کالیبر بالا در نزدیکی ستون فقرات مشاهده شده است.
این تصاویر در قالب یک تحقیق مشترک میان گاردین و پلتفرم حقیقتسنجی فکتنامه توسط گروهی از کارشناسان مستقل پزشکی و بالستیک خارج از ایران بررسی شده است. این گروه شامل یک پزشک اورژانس، یک رادیولوژیست و یک متخصص تصویربرداری تروما بوده است. همچنین یک پزشک مستقل ایرانی تأیید کرده که نرمافزار ثبت تصاویر با سیستمهای بیمارستانی مطابقت دارد و نشانهای از دستکاری در آنها دیده نمیشود.
دکتر «روحینی هار»، پزشک اورژانس و استاد دانشگاه دانشگاه برکلی، با اشاره به تعداد و شدت این جراحات گفته است: «استفاده از مهمات جنگی و گلولههای کالیبر بالا علیه این حجم از غیرنظامیان، حتی در سطح جهانی نیز شوکهکننده و بسیار غیرمعمول است.» یک متخصص تصویربرداری تروما نیز این وضعیت را مصداق «تلفات انبوه» توصیف کرده که میتواند حتی بیمارستانهای بزرگ آمریکا را از کار بیندازد.
پزشکان تأکید کردهاند این تصاویر تنها مربوط به بیمارانی است که تا مرحله سیتیاسکن زنده ماندهاند؛ در حالی که بسیاری از افرادی که مستقیماً از ناحیه سر هدف گلولههای کالیبر بالا قرار میگیرند، اساساً به بیمارستان نمیرسند.
گاردین مینویسد ایران از معدود کشورهایی است که نیروهای مسلح و پلیس آن از ساچمههای فلزی پرندهزنی استفاده میکنند. تصاویر ایکسری نشان میدهد حتی یک یا دو ساچمه نیز میتواند موجب نابینایی یا آسیب دائمی شود. در شلیک از فاصله نزدیک، صدها ساچمه به بدن نفوذ کرده و تمام بافت نرم را نابود میکند.
در یکی از موارد، تصویر قفسه سینه مردی به نام «علی»* وجود بیش از ۱۷۴ ساچمه فلزی را در حفره سینه راست نشان میدهد. به گفته کارشناسان، تراکم ساچمهها حاکی از شلیک از فاصله بسیار نزدیک است. ریه راست او دچار فروپاشی شده و با وجود جراحی فوری، خطر مرگ او بسیار بالاست.
علاوه بر این، الگوی هدفگیری اندامهای ... بهطور خاص جلب توجه کرده است. در تصاویر دستکم ۹نفر، شلیک مستقیم به ناحیه لگن یا اندام تناسلی دیده میشود. در موردی، یک زن میانسال از ناحیه کشاله ران هدف قرار گرفته و نزدیک به ۲۰۰ ساچمه در لگن و رانهای او پخش شده است؛ جراحاتی که به گفته پزشکان میتواند به ... و بیاختیاری دائمی منجر شود.
کارشناسان بالستیک همچنین گلولههای یافتشده در بدن ۹ بیمار دیگر را از نوع «تمام فلزی» (Full Metal Jacket) تشخیص دادهاند که با سلاحهای تهاجمی کالیبر ۷.۶۲ مانند AK-47 مطابقت دارد؛ سلاحهایی که به گفته تحلیلگران توسط سپاه استفاده میشود. یکی از این کارشناسان گفته است: «این نوع جراحات معمولاً در میدان جنگ دیده میشود؛ شلیک چنین سلاحهایی به سمت مردم به معنای قصد کشتن است.»
دکتر «احمد»*، پزشکی که هویتش نزد گاردین محفوظ مانده، میگوید جوانترین بیمار او دختری ۱۴ ساله بوده که مستقیماً از ناحیه چشم هدف قرار گرفته و شدت آسیب به حدی بوده که چشم او تخلیه شده است. او تأکید کرده الگوی جراحات «بهوضوح نشاندهنده قصد ایجاد ناتوانی دائمی و هدفگیری آگاهانه نقاط حیاتی بدن» است.
در پایان گزارش آمده است که قربانیان از کودکان خردسال تا سالمندان را شامل میشوند. یکی از پزشکان از مرگ زن ۶۵ سالهای خبر داده که هنگام تلاش برای نجات نوهاش از فاصله نزدیک هدف ساچمه قرار گرفت و با وجود دو بار تلاش برای احیا جان باخت.
* نامها برای محافظت از هویت افراد تغییر یافته است.




